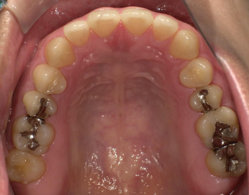
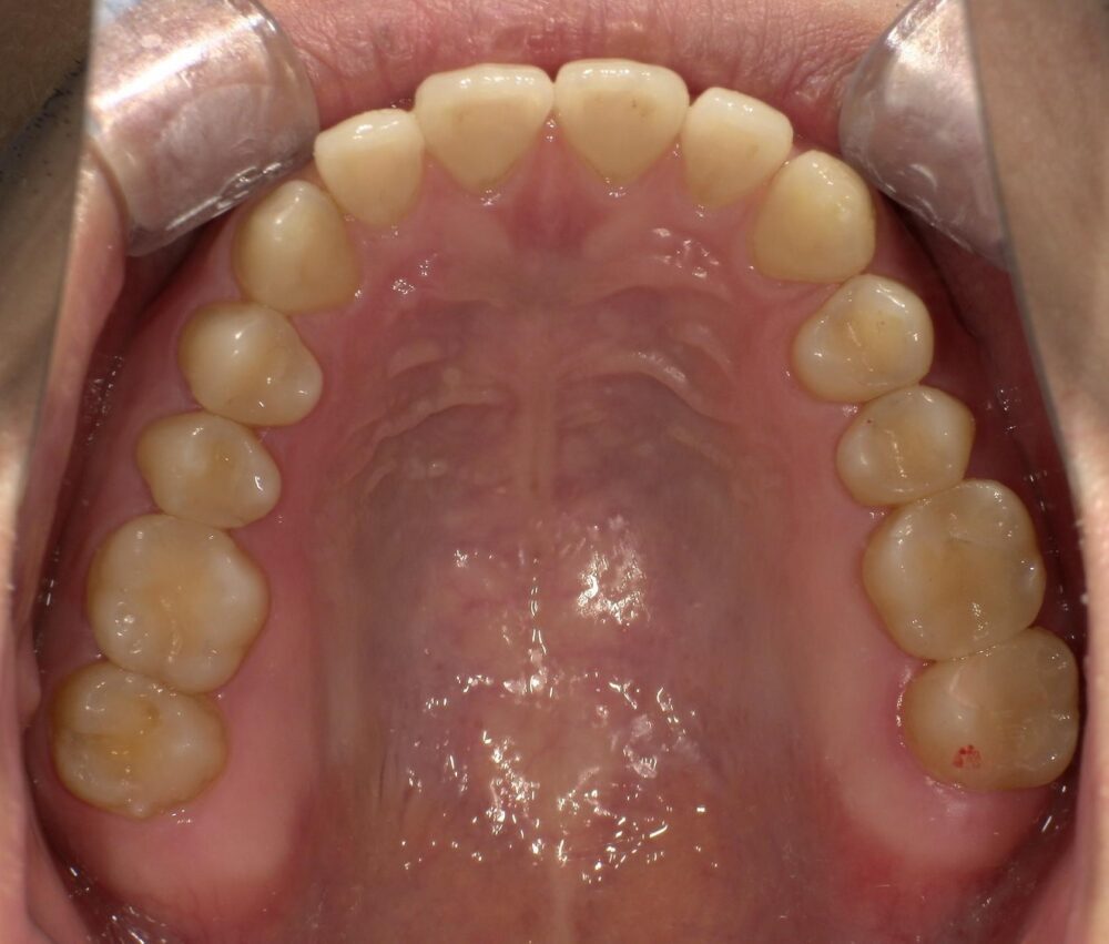
症例1
治療前

治療後

| 主訴 | 前歯見た目気になる。 |
|---|---|
| 診断 |
歯の変色、左上2口蓋側転位 |
| 治療内容 | 左上12再根管治療、左上12審美ジルコニアクラウンによる補綴治療 |
| 年齢・性別 |
25歳、女性 |
| 治療期間 |
2ヶ月 |
| 治療費用 | 220,000円 |
| リスク・副作用 | 歯の切削 |
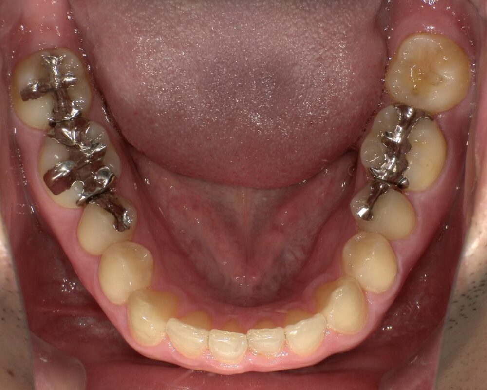
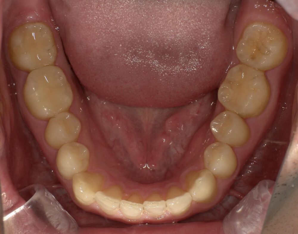
症例2
治療前

治療後

| 主訴 | 虫歯を治したい |
|---|---|
| 診断 |
虫歯 |
| 治療内容 | 保険CAD インレー及びクラウンによる修復 |
| 年齢・性別 |
29歳女性 |
| 治療期間 |
6ヶ月 |
| 治療費用 | 保険に準ずる。目安¥5000×10本 |
| リスク・副作用 | CADの破折、着色 |
症例3
治療前

治療後

治療前

治療後

| 主訴 | 虫歯を治したい |
|---|---|
| 診断 |
2次虫歯 |
| 治療内容 | 保険CAD インレーによる修復治療 |
| 年齢・性別 |
29歳男性 |
| 治療期間 |
2ヶ月 |
| 治療費用 | 保険に準ずる。 |
| リスク・副作用 | CADの破折、着色 |

