- 審美性・機能性を追求した詰め物・被せ物
- 銀歯の見た目が気になる方へ
- セラミックとは
- セラミックのメリット
- セラミックのデメリット
- 再発リスクを抑えた詰め物・被せ物治療
- プライムスキャンを用いた精密で快適な歯型取り
- 当院の詰め物・被せ物治療
- 院内でセラミックの詰め物・被せ物の作製が可能な 「CEREC Primemill」
- WEB予約
審美性・機能性を追求した詰め物・被せ物
詰め物や被せ物は、むし歯治療や歯を失った際に必要となる補綴治療です。当院では、「保険診療」と「自費診療」の両方をご用意し、患者様のご希望に応じた治療を行っています。単に見た目の美しさを追求するだけではなく、かみ合わせの改善や歯の寿命を考えた機能性にもこだわり、お一人おひとりに最適な詰め物・被せ物をご提案しております。適切な補綴治療を施すことで、口腔機能を改善し、より健康な口内環境を維持することが可能となります。
銀歯の見た目が気になる方へ
一般的な歯科治療では、詰め物や被せ物に金属(いわゆる銀歯)を用いることが多くあります。しかし、銀歯は目立ちやすく、笑った時や話した時に気になる方も少なくありません。特に、写真では黒っぽく写ることがあり、口元の印象に影響を与えることがあります。また、銀歯には見た目の問題だけでなく、金属アレルギーのリスクがある点も考慮する必要があります。口腔内に長期間金属があることで、金属イオンが溶け出し、アレルギー反応を引き起こすことがあります。当院では、こうしたリスクや見た目の悩みを解決するために、白くて美しいセラミック素材の詰め物・被せ物をおすすめしております。
セラミックとは
セラミック(セラミックス)と言う名称はよく耳にすることもあるかと思いますが、これは無機物を焼き固めて作られる素材の総称で、ガラスや陶器などの身近な製品もセラミックの一種です。吸水性が低いため変色しにくく、熱に強く、非常に硬い特徴があります。生体親和性(身体との相性)が良いことから、人工関節や人工骨など医療分野でも広く使われており、歯科では色味や透明感の再現性が良いことから、詰め物や被せ物、人工歯などで使われています。
セラミックのメリット
他の素材と比較して審美的に優れている
セラミックは、金属はもちろん、保険診療で使用される白いレジン(歯科用プラスチック)と比較しても、色や質感、光沢感のすべてにおいて優れた素材です。特に透明度が高く、天然歯に近い自然な仕上がりを実現できます。当院では、患者様の歯の色に合わせて複数のシェード(色調)をご用意し、熟練の歯科技工士が細かな色の調整を行うことで、周囲の歯との調和を考えた仕上がりを提供しております。
金属アレルギーのリスクがない
セラミックは、「陶材(とうざい)」とも呼ばれる素材で、完全に金属を含まないため、金属アレルギーのリスクがありません。従来の銀歯(歯科用合金)は金属イオンが溶け出し、口腔内だけでなく全身にアレルギー症状を引き起こす可能性があることが指摘されています。また、金属は長年の使用によって酸化し、歯ぐきに黒ずみを引き起こすことがありますが、セラミック治療であればその心配もありません。メタルフリーの治療を選択することで、健康面でも安心してご使用いただけます。
二次むし歯のリスクが低い
詰め物や被せ物を装着すると、どうしても歯との間にわずかな隙間が生じるため、「二次むし歯(治療後のむし歯の再発)」のリスクが伴います。セラミックは、歯との適合性が高いため、銀歯やレジンに比べて隙間が少なく、細菌が侵入しにくいという特徴があります。これにより、むし歯の再発リスクを軽減し、結果として歯の寿命を延ばすことが可能となります。一度むし歯が再発すると、さらに歯を削る必要があり、歯の強度が低下してしまいます。セラミックを使用することで、こうしたリスクを最小限に抑えることができます。
汚れや着色がしづらい
保険診療で使用される「レジン(プラスチック)」は、時間の経過とともに着色しやすく、汚れが付着しやすい特性を持っています。飲食物や喫煙の影響を受けやすいため、使用年数が長くなると黄ばみや黒ずみが目立つことがあります。さらに、表面の粗さが細菌の付着を促進し、むし歯や歯周病のリスクを高める原因となることもあります。一方、セラミックは表面が滑らかで汚れが付きにくく、長期間使用しても美しさを維持しやすい素材です。セラミックは化学的に安定しており、外部からの刺激による変色や変形が起こりにくいと言われています。歯の美しさを長く保ちたい方には、セラミックが最適な選択肢となります。また、プラークや歯石の付着も抑えられるため、口腔内の衛生状態をより清潔に保つことが可能です。
メタルタトゥーのリスクがない
銀歯(保険診療の金属の詰め物・被せ物)を長期間使用していると、「メタルタトゥー」と呼ばれる黒ずみが歯ぐきに現れることがあります。これは、銀歯が唾液によって微量に溶け出し、金属イオンが歯ぐきに沈着することで発生します。見た目に影響を及ぼすだけでなく、金属アレルギーを引き起こす原因となることもあります。セラミックは金属を含まないため、メタルタトゥーが生じる心配はありません。
ガルバニー電流のリスクがない
口腔内に異なる種類の金属が存在すると、「ガルバニー電流」と呼ばれる微弱な電流が発生することがあります。これは、異種金属間の電位差によって生じるもので、アルミホイルを噛んだときに感じる「キーン」とした不快感と同じ現象です。ガルバニー電流は、一時的な違和感だけでなく、慢性的な頭痛や疲労感、吐き気などの原因となることが報告されています。セラミックは金属を一切含まないため、こうした電流が発生することはなく、より快適に使用することができます。
セラミックのデメリット
日常生活範囲以上の力が加わると割れやすい
セラミックは非常に硬い素材ですが、強い衝撃には割れやすい性質を持っています。特に、歯ぎしりや食いしばりの習慣がある方は、セラミックの詰め物や被せ物が破損するリスクが高くなります。これは、硬い陶器の茶碗が強い衝撃で割れてしまうのと同じ原理です。そのため、歯ぎしりや食いしばりがある方には、マウスピースの使用を推奨することがあります。適切なケアを行うことで、セラミックの耐久性を高め、より長く使用することが可能になります。
治療費が高額になる傾向にある
セラミック治療は自由診療であるため、保険が適応されず、費用が高額になる傾向があります。しかし、その分、精度の高い材料を使用し、適合性の優れた補綴物を製作することができるため、審美性や機能性において大きなメリットがあります。また、銀歯やレジンと比べてむし歯の再発リスクが低いため、結果的に再治療の頻度が減り、生涯にかかる歯科治療費を抑えることができる可能性があります。見た目の美しさや耐久性を考慮すると、長期的な視点でセラミック治療を選択する価値は十分にあると言えます。
再発リスクを抑えた詰め物・被せ物治療
当院では、患者様の健康な歯をできる限り守るため、むし歯の再発リスクを最小限に抑えた治療を心がけています。詰め物や被せ物治療においては、適合精度が非常に重要です。歯と補綴物の間に隙間ができると、そこに細菌が侵入し、むし歯が再発しやすくなります。そのため、当院では拡大鏡を用いて、すみずみまで確認て再発リスクを抑えた治療を行っています。
プライムスキャンを用いた精密で快適な歯型取り
当院では、従来の粘土のような印象材を使用した型取りではなく、最新の口腔内スキャナー「プライムスキャン」を導入しています。プライムスキャンは、光を歯に照射することで、短時間で精密な3Dデータを取得できるデジタルスキャナーです。従来の歯型取りは、シリコン印象材を口に入れ、一定時間噛んで固める必要がありました。この方法は、嘔吐反射のある方や型取りに不快感を覚える方にとって負担が大きいものでした。一方、プライムスキャンを使用したデジタルスキャニングは、スキャナーの光を歯に当てるだけで、わずかな時間で精密な歯型データを取得できます。また、デジタル技術を活用することで、従来の印象材を用いた型取りよりも精度の高いデータを取得できるため、詰め物や被せ物の適合精度が向上します。
当院の詰め物・被せ物治療
むし歯の再発リスクを抑える
通常の被せ物は、歯にセメントで固定しますが、これは合着(ごうちゃく)と言い、セメントが歯や被せ物の凹凸に入り込み、取れにくいように物理的に固まっている状態に過ぎません。当院のセラミック治療では、レジンセメントにより歯と被せ物を化学的に接着するため、被せ物が脱離するリスクが少なく、セメントが経年劣化して隙間から細菌が入り込むことによって起こる二次むし歯のリスクを軽減できます。また、拡大視野下で詰め物・被せ物治療を行っているため、歯との適合性が高いです。
ストレスフリーな型採り
当院のセラミック治療では、コンピューター上にCGでデジタルの歯型を作製し、被せ物を設計します。お口の中を3Dスキャナーでなぞるだけなので、時間も短縮することができ、印象を採るときの不快感もありません。セラミックの詰め物や被せ物は自由診療なので、決して安くはない治療費になりますが、5年間の保証期間を設けています。治療後の定期的なメインテナンスを受けていただく必要はありますが、期間内に破損や脱離があった場合には、無償で再治療を行います。詳しい保証内容は、スタッフまでお気軽にお尋ねください。
院内でセラミックの詰め物・被せ物の作製が可能な
「CEREC Primemill」
短期間でのセラミック治療を受けたい方におすすめ
セレック治療とは、ドイツで開発された先進的な歯科機器「セレック(CEREC)」を使用した、審美性と機能性を兼ね備えた歯科治療のことです。セレックは、コンピュータを活用して詰め物や被せ物などの「修復物」を設計・作製するCAD/CAMシステムです。この治療では、従来のように歯型を取って外部の歯科技工所に依頼する必要がありません。代わりに、院内で3D光学カメラによりお口の中をスキャンし、モニター上に精密な歯列を再現します。そのデータを元に修復物をデザインし、専用の機械でセラミック素材から削り出して作製します。使用するセラミックブロックは、品質管理された高性能な素材で、金属に比べてお身体へのなじみも良く、アレルギーのリスクが低い安全な材料です。見た目も自然な仕上がりで、美しさと安心を兼ね備えています。
セレック治療のポイント
- 高精度な補綴物を作製可能
- 院内で完結するため短期間での治療が可能
- 金属アレルギーの心配不要
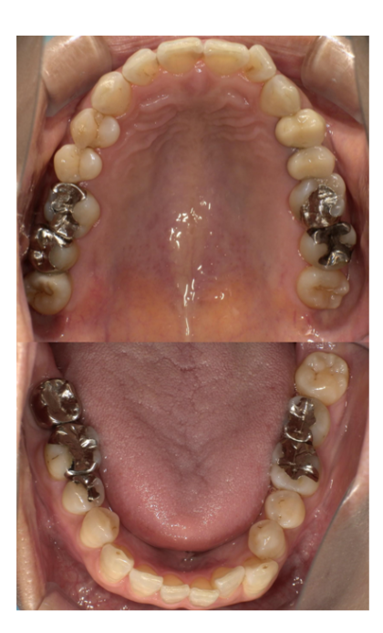
治療前

治療後

| 主訴 | 虫歯を治したい |
|---|---|
| 診断 |
虫歯 |
| 治療内容 | 保険CAD インレー、クラウンによる補綴治療 |
| 年齢・性別 |
51歳、女性 |
| 治療期間 |
5ヶ月 |
| 治療費用 | 保険に準ずる。今回のケースは自己負担3割1本¥5000×11本(目安です) |
| リスク・副作用 | CADの破折、着色 |

