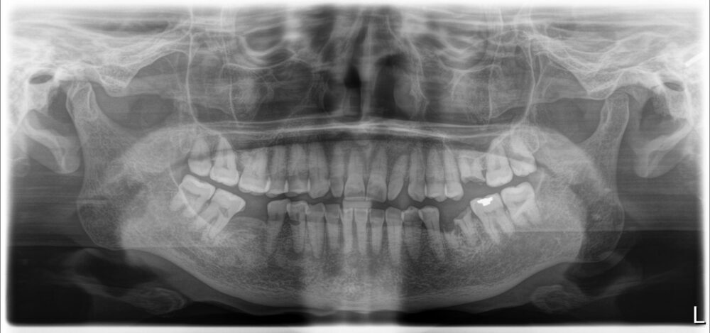
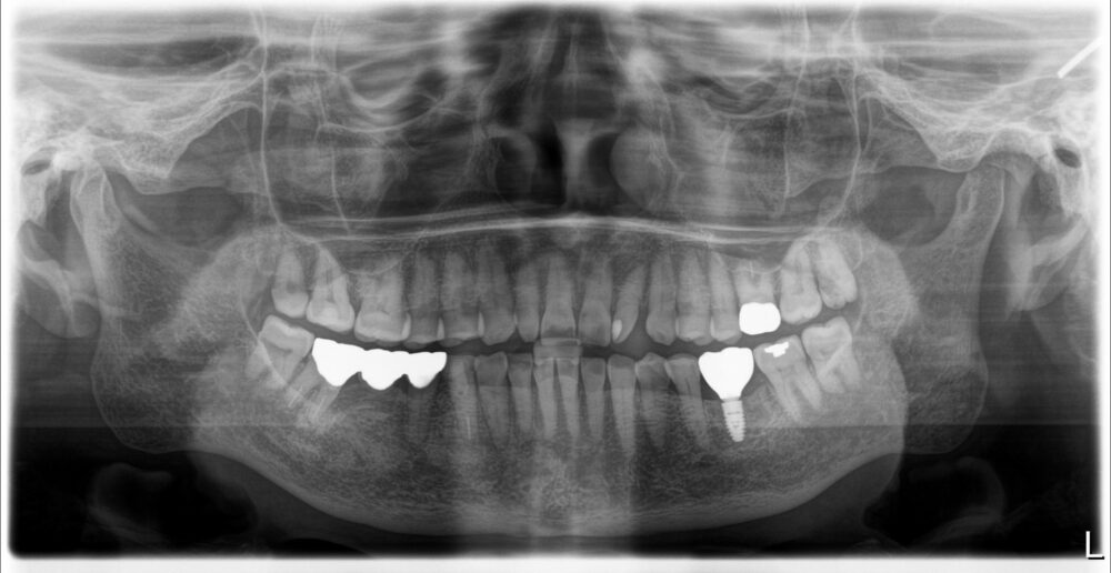
症例1
治療前

治療後

| 主訴 | 歯を入れたい |
|---|---|
| 診断 |
左下6残根 |
| 治療内容 | 左下6抜歯、インプラント補綴 |
| 年齢・性別 |
78歳、女性 |
| 治療期間 |
6ヶ月 |
| 治療費用 | 診査診断¥22000+インプラント一次オペ(京セラ)¥275000+GBR¥110000+上部構造(ジルコニア)¥143000 総額¥550000 |
| リスク・副作用 | インプラント周囲炎、インプラント上部構造の緩み |
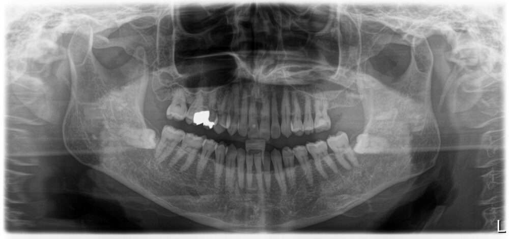
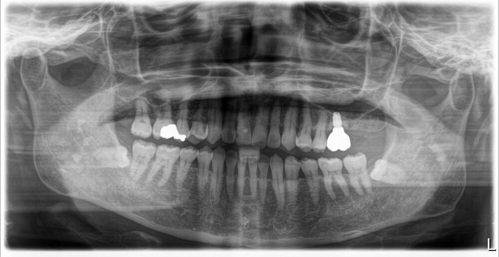
症例2
治療前

治療後

治療前

治療後

| 主訴 | 左上奥歯痛い |
|---|---|
| 診断 |
左上6歯根破折 |
| 治療内容 | 左上6インプラント抜歯即時埋入 |
| 年齢・性別 |
66歳、女性 |
| 治療期間 |
6ヶ月 |
| 治療費用 | 診査診断¥22000+一次オペ(アストラ)¥330000+GBR¥110000+¥上部構造¥143000 合計¥605000 |
| リスク・副作用 | インプラント周囲炎、上部構造の緩み |
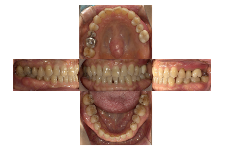
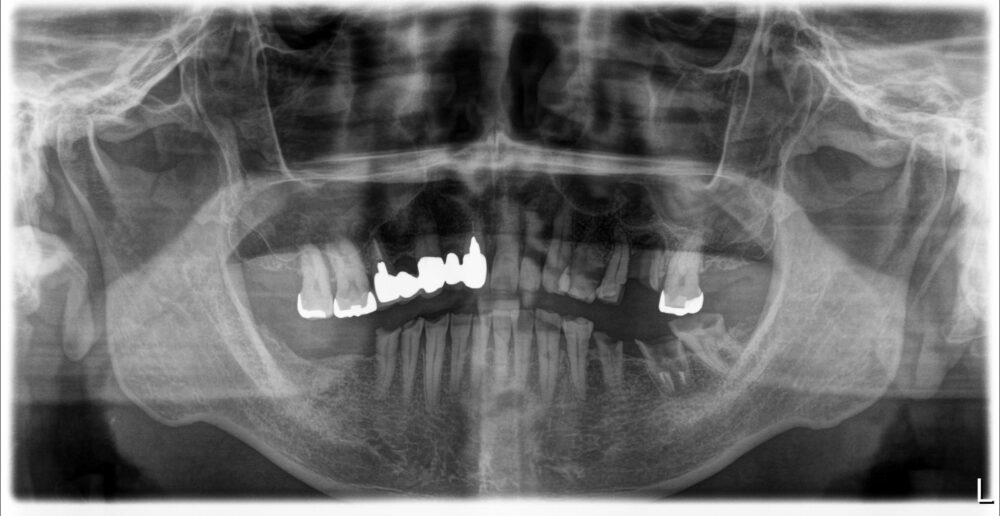
症例3
治療前

治療後

治療前

治療後

| 主訴 | 歯を入れたい |
|---|---|
| 診断 |
「右下」67欠損 |
| 治療内容 | 右下67左下6インプラント、左上⑤6⑦ジルコニアブリッジ |
| 年齢・性別 |
68歳 男性 |
| 治療期間 |
8ヶ月 |
| 治療費用 | ①左上⑤6⑦ジルコニアブリッジ¥264000 ②右下67左下6インプラント(3本) 診査診断¥22000+一次手術(京セラ)¥825000+左下6GBR¥110000+上部構造¥429000 総額¥1386000 |
| リスク・副作用 | インプラント周囲炎、インプラント上部構造の緩み |



