初めての方へ
初診の方へ
当院の特徴
歯を残したい方へ【セカンドオピニオン】
よくある質問(Q&A)
医院紹介
医院情報
アクセス
診療時間
院長紹介
歯科医師紹介
設備紹介
院内紹介
キャンセルポリシー
施設基準に関する掲示
診療案内
歯科恐怖症の方へ
むし歯治療
根管治療
歯周病治療
予防歯科
詰め物・被せ物治療
ホワイトニング
矯正歯科
中高生のマウスピース矯正
小児歯科
小児矯正
入れ歯・義歯治療
インプラント治療
口腔外科
スポーツマウスピースの作製
マタ二ティ歯科
症例
セラミック
矯正歯科
小児矯正
インプラント治療
治療費
CLOSE
小児矯正の症例
ホーム
小児矯正の症例
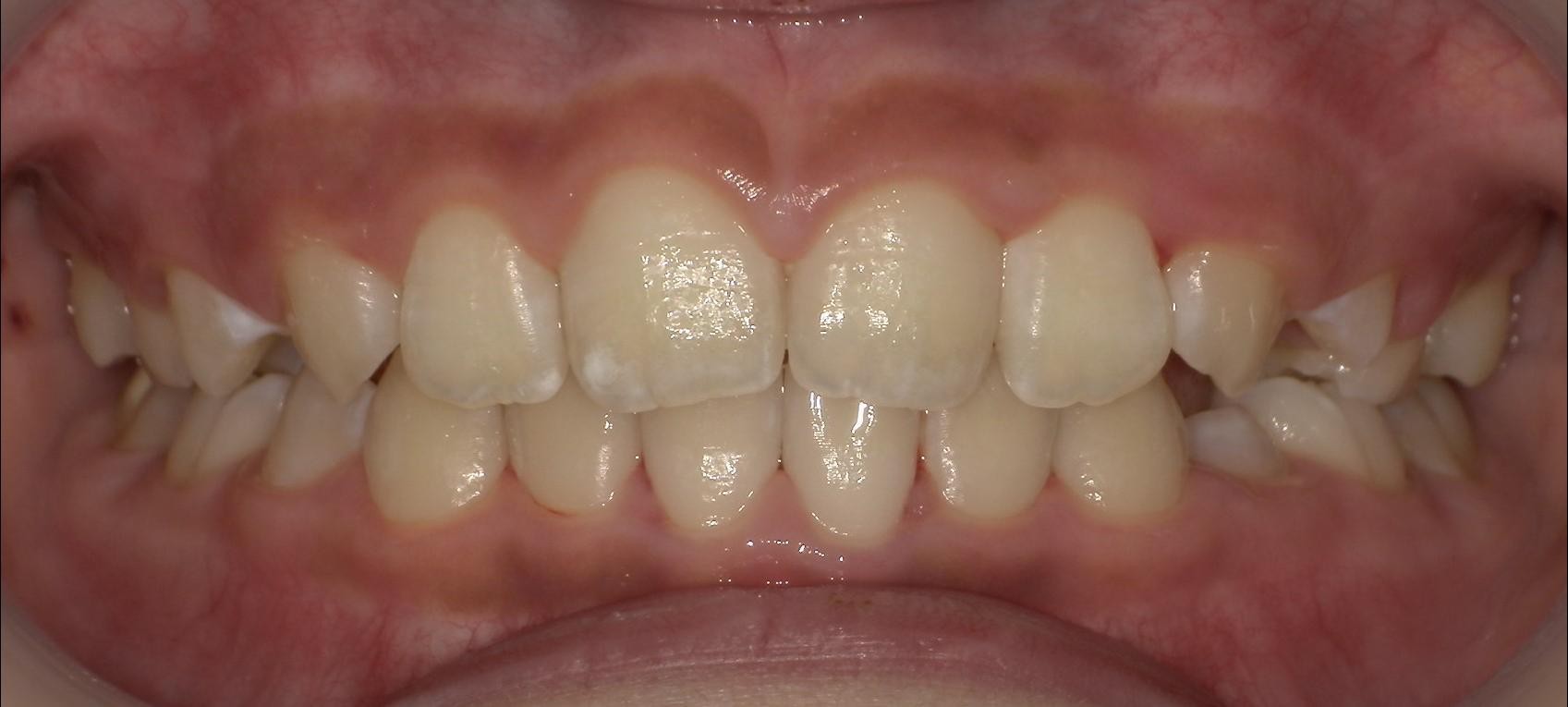
プレオルソによる一期治療
プレオルソによる
一期治療
治療前
治療後
主訴
歯並びを直したい
診断
歯列弓狭窄、左上1口蓋側転位
治療内容
プレオルソによる一期治療
年齢・性別
7歳、女性
治療期間
2年
治療費用
¥187,000
リスク・副作用
後戻り